Ciekawostki Historyczne

Ołowiane dzieci z Szopienic. Historia, którą próbowano ukryć

W latach 70. w Szopienicach, przemysłowej dzielnicy Katowic, setki dzieci zapadały na ołowicę, chorobę wywołaną działalnością pobliskiej huty metali nieżelaznych. Sprawa przez długi czas była zamiatana pod dywan, a jej ujawnienie wymagało odwagi jednej lekarki, Jolanty Wadowskiej-Król, która postawiła dobro najmłodszych ponad własną karierę.

W kontekście tej historii polecamy książkę Michała Jędryki.

Lekarka, która nie chciała odwracać wzroku

Urodzona 27 czerwca 1939 roku w Katowicach Jolanta Danuta Wadowska-Król dość wcześnie musiała nauczyć się samodzielności. Wychowywała się u jednej z sióstr swojej matki, ponieważ jej rodzicielka, gdy córka miała zaledwie rok, uległa porażeniu piorunem i częściowo straciła wzrok. W 1964 roku ukończyła studia na Śląskiej Akademii Medycznej. Później podjęła pracę w Poradni Dziecięcej w Dąbrówce Małej.

fot.Adrian Tync / CC BY-SA 4.0

Jolanta Wadowska-Król (2021)

W swojej pracy zawodowej zetknęła się z problemem zapadalności na ołowicę, interesowała się bowiem badaniami Edmunda Gryglewicza. Dotyczyły one przypadków tej choroby wśród pracowników Huty Metali Nieżelaznych „Szopienice”. To właśnie one naprowadziły ją na trop własnych badań, których wyniki miały zszokować nie tylko ją samą. Obserwując swoich małych pacjentów, zauważyła u nich objawy mogące świadczyć o zatruciu metalami ciężkimi. Dzieci jednak nie pracowały przecież w hucie.

Przeczytaj także: Historia ospy prawdziwej

Między młotem władzy a kowadłem choroby

Zaczęło się od chłopca z nawracającą niedokrwistością, którego lekarka latem 1974 roku skierowała do kliniki dziecięcej w Zabrzu. Musiała podzielić się swoimi obawami. Osobą tą okazała się wojewódzka konsultantka medyczna, profesor Bożena Hager-Małecka, która podczas jednej z konferencji naukowych w Szwajcarii zdobyła wiedzę na temat ołowicy. Obu towarzyszyły obawy dotyczące reakcji władz, ale uznały, że trzeba działać.

Faktem jest, że oficjalnie nikt nie chciał o sprawie słyszeć. Bohaterska lekarka spotykała się nawet z nieprzyjemnościami. Na pewnym etapie dyrektorka sanepidu miała powiedzieć, że „znalazła się królowa – Matka Boska Szopienicka – i mąci ludziom w głowach”. Mimo to przeprowadzenie dokładniejszych badań wśród dzieci było konieczne.

4 września 1974 roku Bożena Hager-Małecka podjęła decyzję: Jolanta Wadowska-Król miała, w absolutnej tajemnicy przed „górą”, zbadać grupę dzieci mieszkających najbliżej szopienickiej huty – początkowo w promieniu 400 metrów. Kluczowe było określenie poziomu ołowiu w ich krwi. Już pierwsze wyniki okazały się wstrząsające.

fot.Autor nieznany / domena publiczna

HMN Szopienice na pocztówce z roku 1938

Zakres badań stopniowo poszerzano. Codziennie do różnych laboratoriów, na podstawie skierowań Wadowskiej-Król, trafiało od 50 do 70 dzieci. Wezwania na badania roznosiła osobiście, chodząc od drzwi do drzwi wraz z pielęgniarką Wiesławą Wilczek. Działania te spotkały się jedynie z umiarkowanym zainteresowaniem prasy. Na łamach „Trybuny Robotniczej” ukazała się krótka notatka informująca o profilaktycznych badaniach dzieci prowadzonych w kilku miejscach na Śląsku. Ich celem miało być porównanie stanu zdrowia dzieci z terenów przemysłowych z tymi, które mieszkały na tzw. terenach zielonych.

 

Przeczytaj także: Samotne matki w PRL

20% dzieci spełniało kryteria choroby

Badania prowadzone przez Jolantę Wadowską-Król trwały trzy miesiące i objęły około 5000 dzieci. U 1000 z nich – a więc u 20% – stwierdzono ołowicę. Należy jednak zaznaczyć, że były to diagnozy stawiane według ówczesnych, znacznie bardziej liberalnych norm. Według dzisiejszych standardów ołowicę rozpoznano by zapewne nawet u 90% przebadanych. W tamtych latach leczeniem objęto jednak jedynie wspomniany tysiąc dzieci, z których część musiała zostać natychmiast hospitalizowana z powodu ciężkich objawów.

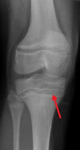
fot.Dr Abhijit Datir / CC BY-SA 3.0

Zagęszczone (sklerotyczne) linie przynasadowe spowodowane zatruciem ołowiem

Jak ołowica wpływała na zdrowie i rozwój najmłodszych? O jej drastycznym oddziaływaniu najlepiej świadczy fakt, że w bezpośrednim sąsiedztwie huty, poza szczurami, nie były w stanie przeżyć żadne zwierzęta. Jeśli chodzi o dzieci, Jakub Kujawa podaje, że „zatrucie ołowiem powodowało u nich osłabienie, bezsenność oraz uszkodzenia narządów wewnętrznych, m.in. wątroby i nerek”

Sama Jolanta Wadowska-Król wspominała:

„Dzieci z Szopienic miały mniejsze szanse niż ich rówieśnicy z innych dzielnic. Przede wszystkim mieszkały w sąsiedztwie Huty Metali Nieżelaznych – to z jej kominów dzień i noc wydostawał się ołów. Dzieci bawiły się na podwórkach, klepiskach, których ziemia była nim przesycona. Podczas zabaw ołów osadzał się na brudnych rękach, a stamtąd przedostawał się do przewodu pokarmowego. (…) Wdychany i połykany ołów działał szczególnie szkodliwie na centralny układ nerwowy, powodując trudności w nauce i spowolnienie rozwoju, a także na obwodowy układ nerwowy, prowadząc do porażeń”.

 

Dalsza część artykułu pod ramką
Zobacz również:

Ludzi przesiedlono, lecz huta truła jeszcze długo

Dzięki staraniom Jolanty Wadowskiej-Król podjęto konkretne działania, mające na celu zarówno poprawę stanu zdrowia dzieci, jak i ograniczenie dalszych zachorowań. Około 2000 dzieci wysłano do sanatoriów. Zajęto się również najbliższą okolicą huty. Stwierdzono konieczność wyburzenia dwóch ulic zlokalizowanych najbliżej zakładu, przy których stały familoki. Decyzję podjęto w połowie lat 70., a wysiedlonym rodzinom zapewniono mieszkania na nowym osiedlu, położonym dalej od źródła skażenia.

Nie był to jednak koniec problemów. Ołów wniknął także w ziemię – wywieziono jej aż 200 000 ton. Wszystkie te działania starano się jednak prowadzić jak najciszej, bez nagłaśniania sprawy.

fot.Kris D / CC BY-SA 2.0

Zabudowania dawnej huty cynku „Uthemann”

Sama huta nadal funkcjonowała i emitowała zanieczyszczenia. Dopiero w połowie lat 80. zapadła decyzja o wstrzymaniu produkcji ołowiu. Zakład przestał istnieć po fiasku prób prywatyzacji w 2008 roku. Rekultywację terenów przeprowadzono dopiero w XXI wieku – trwała sześć lat, zakończyła się w 2016 roku i kosztowała ponad 30 mln zł. Mimo to, według Regionalnej Dyrekcji Ochrony Środowiska w Katowicach, teren nadal pozostaje skażony. Na głębokości większej niż 25 cm zlokalizowanych jest kilkanaście toksycznych pierwiastków, co częściowo wynika również z funkcjonowania w tym miejscu nielegalnego składowiska odpadów niebezpiecznych.

Przeczytaj także: Doktor Witaszek, lekarz Ojczyzny

Poświęciła karierę, uratowała tysiące dzieci

Sprawa ołowicy drastycznie odbiła się na dalszym rozwoju naukowym i zawodowym Jolanty Wadowskiej-Król. Zebrany materiał badawczy posłużył jej do napisania rozprawy doktorskiej. Gdy jednak próbowała wszcząć przewód doktorski, pojawiły się liczne przeszkody.

Rozprawę ukończyła w 1975 roku. Na początku marca 1977 roku skierowała wniosek do dziekana Wydziału Lekarskiego Śląskiej Akademii Medycznej, a jej promotorka, prof. dr hab. Bożena Hager-Małecka, złożyła odpowiednie dokumenty do rektora. Na jednym z nich znalazła się odręczna adnotacja rektora Jana Jonka z 2 marca 1977 roku: „Brak piśmiennictwa, wstrzymać”.

Kolejne podejście miało miejsce w Instytucie Pediatrii. Choć prof. dr hab. Mieczysław Krauze poparł jej wniosek, przeszkody pojawiały się nadal. Problemem okazał się temat – a właściwie samo słowo „zatrucie”. W trakcie starań lekarkę około dziesięciu razy zmuszano do zmiany tematu pracy, a proponowane alternatywy również były odrzucane.

fot.Krzysztof Popławski / CC BY-SA 4.0

Mural poświęcony Jolancie Wadowskiej-Król na ścianie kamienicy przy ulicy Gliwickiej 58 w Katowicach

Najbardziej kuriozalne wydarzenia miały miejsce na forum Rady Instytutu Pediatrii. Jej członkowie uznali bowiem, że materiał badawczy stanowi… tajemnicę państwową i nie powinien być omawiany. Temat wprawdzie zatwierdzono, ale bez omówienia koncepcji pracy, a wstępne recenzje – opatrzone klauzulą „poufne” – były anonimowe i negatywne. Lekarce nakazano wykreślić z rozprawy wszelkie odniesienia do dzieci z Szopienic.

Po późniejszej odwilży wezwano ją na rozmowę dotyczącą kontynuacji pracy doktorskiej, lecz odmówiła. Zbyt wiele kluczowych informacji zostało wcześniej usuniętych. Zrezygnowała z dalszych starań naukowych i poświęciła się temu, co potrafiła najlepiej – leczeniu dzieci. W kolejnych latach otrzymała wiele wyróżnień, a w 2017 roku została Honorową Obywatelką Katowic. I wciąż można odnieść wrażenie, że za uratowanie tysięcy dzieci żadne odznaczenia nie byłyby wystarczające. Jolanta Wadowska-Król zmarła 18 czerwca 2023 roku.

Polecamy także ciekawostkę: Jak potoczyły się losy bohaterów „Ołowianych dzieci”?

Bibliografia

  1. A. Kassenberg, Przez ekologię do wolności, Ministerstwo Środowiska, Warszawa 2014.
  2. M. Kłoskowicz, Mamy ołów we krwi, „No Limits” nr 2/2023.
  3. J. Kujawa, Bomby ekologiczne jako kłopotliwa spuścizna po działalności zakładów przemysłowych PRL, „Roczniki Dziejów Społecznych i Gospodarczych”, tom LXXXVI/2024.
  4. Na ratunek „ołowianym dzieciom”, „Magazyn Hutniczy”, nr 12/2020.
  5. Historia szopienickiej epidemii ołowicy a współczesny problem zanieczyszczenia środowiska na Śląsku Z Doktor Jolantą Wadowską-Król rozmawia Aleksandra Lange, „Z Teorii i Praktyki Dydaktycznej Języka Polskiego”, tom 31/2022.
  6. L. Sadzikowska, Jolanta Wadowska-Król (27 czerwca 1939–18 czerwca 2023) Niepokorna Matka Boska Szopienicka z familoków, „Medycyna Środowiskowa – Environmental Medicine”, nr 3-4/2023.

Zobacz również

Zimna wojna

PRL. Artyści niesforni

Artyści niesforni. Bez definicji. Wolni tak bardzo, że dawali wolność innym.

4 marca 2026 | Autorzy: Redakcja

Zimna wojna

Jak potoczyły się losy bohaterów „Ołowianych dzieci”?

Serial "Ołowiane dzieci" przywrócił pamięć jednej z najbardziej dramatycznych, a przez lata przemilczanych historii PRL, masowych zatruć ołowiem wśród dzieci mieszkających w katowickich Szopienicach w...

19 lutego 2026 | Autorzy: Redakcja

Historia najnowsza

Śląsk pełen wampirów? Tajemnice miejskich legend

Czarna wołga, wampir z Sosnowca i znikający ludzie. Poznajcie mroczne legendy miejskie przerażające Polaków i historię o tym, jak się tworzyły.

20 stycznia 2026 | Autorzy: Gabriela Bortacka

Zimna wojna

Zbrodnia połaniecka

W wigilijną noc 1976 roku w podpołanieckim Zrębinie dokonano zbrodni, o której wiedziała niemal cała wieś. Troje ludzi zginęło z rąk sąsiadów, a kilkudziesięciu świadków...

14 stycznia 2026 | Autorzy: Tomasz Sowa

Zimna wojna

Jak Wańkowicz sądownictwo PRL na dudka wystrychnął?

Melchior Wańkowicz, buntownik z piórem, drwił z PRL-owskiego wymiaru sprawiedliwości. Skazany – chciał odsiedzieć karę, lecz to więzienie uciekało przed nim.

15 listopada 2025 | Autorzy: Herbert Gnaś

Historia najnowsza

Historia ospy prawdziwej

Historia ospy prawdziwej to opowieść o jednej z najgroźniejszych chorób w dziejach ludzkości. Przez wieki siała spustoszenie, zabijając miliony ludzi na całym świecie. Jak w...

8 listopada 2025 | Autorzy: Anna Baron-Jaworska

KOMENTARZE (1)

Dodaj komentarz

Twój adres e-mail nie zostanie opublikowany. Wymagane pola są oznaczone *

Borys

Wspaniała historia. Oto prawdziwa bohaterka, właśnie dla takich ludzi jest Order Orła Białego, a oni przyznają takie wyróżnienie Macierewiczowi. Skandal!

Jeśli chcesz zgłosić literówkę lub błąd ortograficzny kliknij TUTAJ.

Przeglądaj książki historyczne w najlepszych cenach

Odkryj najciekawsze książki historyczne w atrakcyjnych cenach. Sekcja powstała we współpracy z Lubimyczytac.pl, największą społecznością miłośników literatury w Polsce – dzięki temu możesz wybierać spośród tytułów najwyżej ocenianych przez czytelników.